news vom 25.03.2026
Erstmals Leitlinie zur zahnmedizinischen Betreuung geriatrischer Patienten erschienen
Orientierung für die Zahnmedizin im Alter
Düsseldorf, 25.03.2026 - Mit der neuen S2k-Leitlinie „Zahnmedizinische Betreuung geriatrischer Patienten“ [1] liegt erstmals in Deutschland ein konsentierter Handlungsrahmen für die zahnmedizinische Versorgung älterer und pflegebedürftiger Menschen vor. Das interdisziplinäre Leitlinienprojekt wurde unter Federführung der Deutschen Gesellschaft für Alterszahnmedizin (DGAZ) und der Deutschen Gesellschaft für Zahn-, Mund- und Kieferheilkunde (DGZMK) zusammen mit 16 Fachgesellschaften und Organisationen erarbeitet.
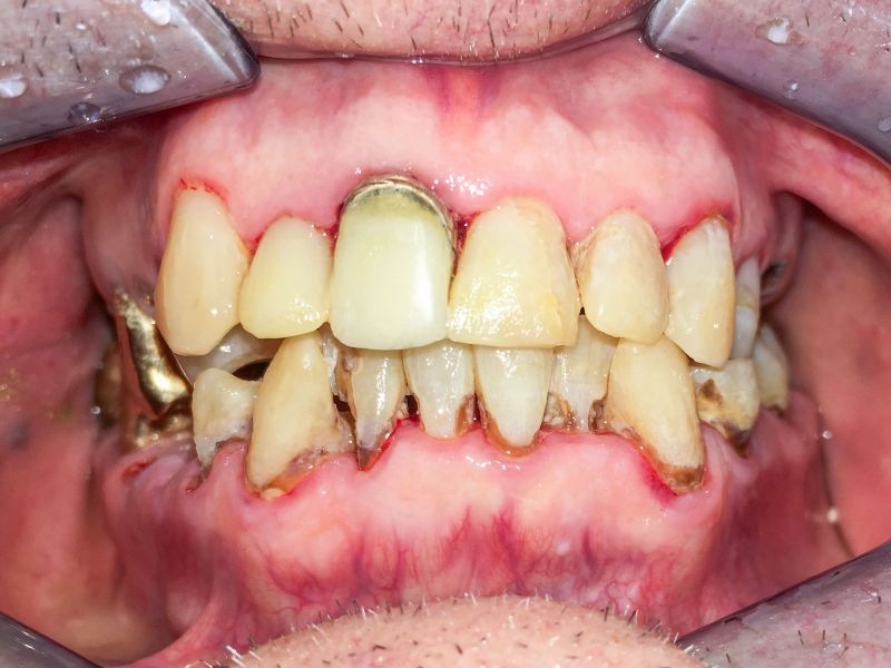
Die demografische Entwicklung stellt die Zahnmedizin vor neue Herausforderungen: Immer mehr ältere Menschen verfügen über eigene Zähne oder mitunter über komplexen Zahnersatz, während gleichzeitig Multimorbidität, kognitive Einschränkungen und Pflegebedürftigkeit zunehmen. Orale Erkrankungen verschieben sich in höhere Lebensalter, während Mundhygienefertigkeiten und Therapiefähigkeit häufig abnehmen. Das Thema Seniorenzahnmedizin ist komplex. Der Betreuungsbedarf ist schon heute groß und wird in Zukunft noch steigen.
Alter ist keine Zahl
Hohes Lebensalter und/oder Pflegebedürftigkeit erhöhen nachweislich das Risiko für eine Verschlechterung der Mundgesundheit und sollen laut Empfehlung 2 in der zahnmedizinischen Betreuung berücksichtigt werden. Entscheidend ist dabei weniger das kalendarische Alter als die allgemeine und zahnmedizinische funktionelle Kapazität eines Menschen.
Die „Giganten der Altersmedizin“ - die geriatrischen „I“, wie zum Beispiel intellektueller Abbau, Immobilität, Instabilität, Inkontinenz und/oder die insuffiziente Mundgesundheit kommen immer mehr in den Vordergrund. Für diese Einschätzung nutzen Mediziner und Zahnmediziner verschiedene geriatrische Assessments. Die Leitlinie beschreibt ergänzend Aspekte eines oral-geriatrischen Assessments für die Zahnmedizin. „Wir müssen uns fragen, an welcher Stelle des Lebensstrahls sich der Patient befindet", sagt Prof. Dr. Ina Nitschke, Leitlinien-Koordinatorin und Präsidentin der DGAZ. „Die Gruppe der Senioren ist sehr heterogen – von sehr fitten und selbstständigen Menschen bis zu gebrechlichen und pflegebedürftigen, geriatrischen Patienten. Entsprechend müssen Kommunikation, Therapie und Empfehlungen über die Behandlungsjahre angepasst werden.“
Mundhygiene im (Pflege-)Alltag umsetzen
Weitere Empfehlungen und Statements thematisieren die praktische Umsetzung der Mundhygiene im Alltag. Zahnärztinnen und Zahnärzte sollen die häusliche Mundhygiene aktiv unterstützen und individuell geeignete Hilfsmittel empfehlen (Empfehlung 7). Wenn ältere Patientinnen und Patienten auf Unterstützung angewiesen sind, sollen – nach deren Einverständnis – Angehörige und Pflegepersonen aktiv in die Mundpflege-Anleitung einbezogen werden (Statement 1).
Für den Praxisalltag ist dabei entscheidend zu wissen, wie viel Unterstützung ein Patient benötigt. Ein bewilligter Pflegegrad kann helfen, diesen Bedarf einzuschätzen. „Ob jemand seine Zähne oder eine Prothese tatsächlich noch selbstständig reinigen kann, zeigt sich am besten, wenn man die Patientinnen und Patienten bittet, dies praktisch vorzuführen. Die bloße Aussage ‚Ich putze meine Zähne regelmäßig‘ reicht dafür nicht aus“, sagt Leitlinien-Koordinator Dr. Elmar Ludwig. Der Verein ‚mund-pflege e.V.‘ beantwortet viele Fragen zur Mundgesundheit in der Pflege auf seinem reich bebilderten Webportal [2].
Schluckstörungen und Aspirationsgefahr
Eingeschränkte Mundhygienefähigkeiten werden häufig durch eine deutliche Plaqueansammlung oder unzureichend gereinigtem Zahnersatz sichtbar. Daneben gibt es jedoch Risiken, die nicht sofort erkennbar sind. „Auf Symptome einer Schluckstörung sollte bei der Anamnese besonders geachtet werden“, betont Ludwig, „denn das erhöht die Aspirationsgefahr.“ Zahnärztinnen und Zahnärzte können bei entsprechendem Verdacht oder anhand des „Dysphagie Screening Tools Geriatrie“ auch eine logopädische Behandlung verordnen. Die Leitlinie empfiehlt dazu: Jeder Zahnarzt soll Schluckprobleme im Blick haben und – wenn nötig – z. B. über den Hausarzt oder Logopäden weitere diagnostische bzw. therapeutische Maßnahmen anregen (Empfehlung 16).
Praxiswissen als Grundlage der Leitlinie
Die geriatrische Zahnmedizin basiert in vielen Bereichen stärker auf klinischer Erfahrung als auf klassischen evidenzbasierten Studien. „Das liegt in der Natur des Faches“, erklärt Prof. Dr. Cornelia Frese, Leitlinien-Koordinatorin und Präsidentin der Deutschen Gesellschaft für Präventivzahnmedizin (DGPZM). „Randomisierte kontrollierte Langzeitstudien mit sehr alten oder pflegebedürftigen Menschen sind häufig weder praktikabel noch ethisch vertretbar.“ Die Leitlinie wurde deshalb bewusst als S2k-Leitlinie entwickelt – auf Basis eines strukturierten Expertenkonsenses mit konsensbasierten Empfehlungen und Statements.
Sie enthält daher auch praxisnahe Hinweise, die in wissenschaftlichen Leitlinien selten sind. Dazu gehören etwa organisatorische und rechtliche Aspekte bei der Behandlung pflegebedürftiger Menschen, der Delegationsrahmen im Praxisteam sowie Anforderungen an eine möglichst barrierearme Praxisgestaltung – als ein Teilbereich des „gerostomatologischen Wohlfühlfaktors“.
Auch für die Lehre schafft die Leitlinie eine wichtige Grundlage. „Die Seniorenzahnmedizin wurde lange nicht an allen Universitäten unterrichtet, doch inzwischen ist die 'Medizin und Zahnmedizin des Alterns und des alten Menschen' als Querschnittsbereich in der Approbationsordnung für Zahnärzte und Zahnärztinnen aufgenommen worden“, sagt Prof. Dr. Julia Jockusch, Leitlinien-Koordinatorin und Direktorin der Poliklinik für Zahnärztliche Prothetik und Seniorenzahnmedizin an der Medizinischen Hochschule Brandenburg.
Seniorenzahnmedizin gewinnt an Bedeutung
Das Fach Seniorenzahnmedizin bietet großes, fächerübergreifendes Potenzial. „Wir möchten möglichst viele Kolleginnen und Kollegen ermutigen, sich in diesem Bereich fortzubilden und geriatrische Patienten aufsuchend zu betreuen“, sagt Dr. Ludwig, stellvertretender Vorsitzender im Ausschuss Alterszahnmedizin der Bundeszahnärztekammer (BZÄK). Für ihn ist die aufsuchende Betreuung vulnerabler Patientengruppen, die seit 2018 im Bundesmantelvertrag ausdrücklich Teil des Versorgungsauftrages ist [3], gelebter Praxisalltag. Der Einsatz einer mobilen Behandlungseinheit ist nicht Voraussetzung für die aufsuchende zahnmedizinische Betreuung, lautet das Statement Nr. 6 in der Leitlinie.
„Mit dieser Leitlinie steht den Kolleginnen und Kollegen ein von Expertinnen und Experten erarbeiteter Rahmen für die zahnmedizinische Betreuung geriatrischer bzw. pflegebedürftiger Menschen zur Verfügung. Da diese Versorgung häufig mit besonderen Herausforderungen und Abwägungen verbunden ist, soll die Leitlinie mehr Orientierung und Sicherheit im Praxisalltag geben“, betont Prof. Nitschke.
Quellen
[1] DGAZ, DGZMK: „Zahnmedizinische Betreuung geriatrischer Patienten“, Langfassung, Version 1.1, 2026, AWMF-Registriernummer: 083-047, https://register.awmf.org/de/leitlinien/detail/083-047, (Zugriff am: 20.03.2026)
[2] gemeinnütziger Verein „mund-pflege e.V.“, https://mund-pflege.net/
[3] Bundesmantelvertrag – Zahnärzte (BMV-Z) in der Fassung vom 25.04.2018, § 3, Abs. 2, https://www.kzbv.de/wp-content/uploads/bmv-z-2025-07-01-gesamtausgabe.pdf
Wenn Sie das Thema aufgreifen, freuen wir uns über einen Beleg an presse@dgzmk.de
Bilder:
![]() | ![]() |
![]() | ![]() |
![]() | |




